Brain Hemorrhage Project Joint with Iran Medical University

Project Information

  • Category: AI assistant Software
  • Client: Iran Medical University
  • Start Date: January, 2023
  • Status: In Progress

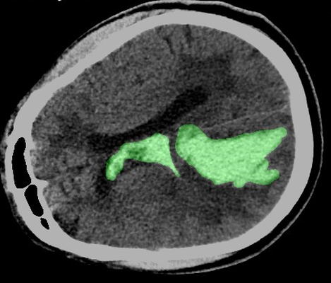
ICH Detection, Classification, Segmentation

The project focused on classifying, detecting, and segmenting hemorrhagic lesions in CT scans using a novel multi-step approach. We developed a multi-step method primarily aimed at increasing the performance of the segmentation process for 3D medical images. The approach includes the development of a novel post-processing method to refine segmentation outcomes, as well as a trainable pre-processing technique to enhance input data quality before model training. Ongoing research explores models like Vision Transformers (ViTs) and sequential models such as RNN and GRU within this framework. To enhance interpretability and explainability for medical specialists, we are developing a decision policy based on fuzzy systems. We also conducted a comprehensive statistical review of the datasets to uncover meaningful patterns within the available data. A key achievement was the creation of a custom dataset of over 900 patient CT scans for segmentation and quantification of intracerebral hemorrhage volume, in collaboration with Iran Medical University and Rasool Akram Hospital. Explainability tools like GradCAM were integrated to improve model transparency, followed by t-SNE transformations to visualize high-dimensional data and model behavior more effectively. This project was my bachelor thesis, resulting in one published paper and another currently in progress. I served as the technical manager of research and development for this project at APAC group.