Annual Competition of Artificial Intelligence for Classification of Abnormal Brain in MRI Radiography

Project Information

  • Category: AI assistant Software
  • Client: IAAA Organization
  • Start Date: July, 2024
  • Status: Completed

Abnormality Classification in Brain MRI

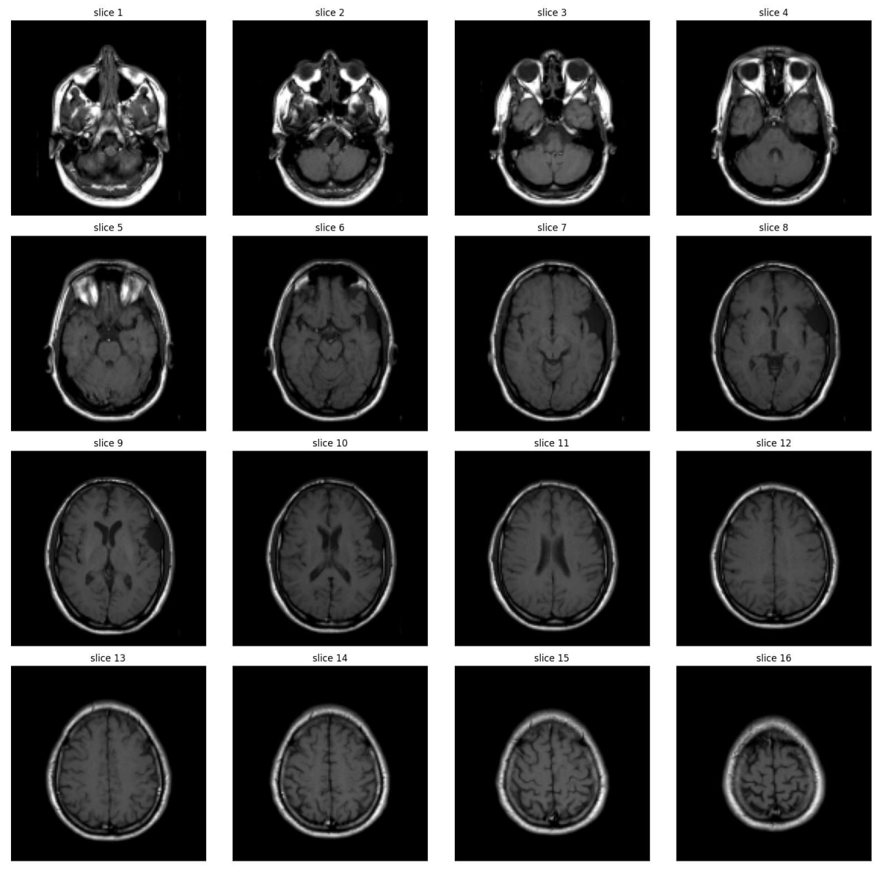
As part of the JIM3 team, I competed in the IAAA competition, which involved a dataset of 4,000 MRI images, with only 500 labeled as abnormal. The competition aimed to develop a model for patient-level abnormality classification. We utilized various models, including EfficientNet, DenseNet, ResNet, custom CNN models, and Vision Transformers (VIT), along with different preprocessing techniques. Working closely with a medical team, we converted subject-level annotations into slice-level annotations for more effective model training. Despite discovering inconsistencies in the test set and normal cases after the competition, we secured 17th place among over 100 teams. The technical team is currently working on a paper using the annotated data from this project.